
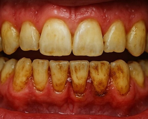
Wegovy ruiniert die Zähne? Neue Nebenwirkung „Ozempic-Zähne“ alarmiert Zahnärzte
Ich berichtete bereits über Wegovy, den neuen „Superstar" unter den Abnehmmitteln, das auch zur Behandlung von Typ-2-Diabetes eingesetzt wird. Ziemlich praktisch, so eine Doppel-Indikation: Vorsicht! Wegovy – Das künstliche Abnehm-Hormon
In…

Zahnfleischschwund & Parodontitis – Natürliche Heilmethoden und Hausmittel
Blut beim Zähneputzen? Ach, das ist doch normal – oder? Weit gefehlt. Zahnfleischbluten ist kein harmloses Problem, sondern oft das erste Warnsignal für eine schleichende Entzündung. Und diese kann weit mehr anrichten, als nur das Zahnfleisch…

Zahnfleischtaschen – Naturheilkunde und Hausmittel
Zum Schutz des Zahns liegt normalerweise das Zahnfleisch eng am Zahn an. Löst sich das Zahnfleisch allerdings vom Zahn ab, dann entsteht ein Zwischenraum, der als Zahnfleischtasche bezeichnet wird. Diese Zahnfleischtaschen sind Anzeichen für…

Zahnpasta: Apatit statt Fluorid
Fluor ist ein chemisches Element, das ohne physiologische Bedeutung für den menschlichen Organismus ist. Im Gegenteil.
Fluor und seine Verbindungen sind potente Toxine. Nichtsdestotrotz erzählt uns die Schulmedizin bis heute, dass Fluor in…

Was sind Zahnstörfelder?
Wenn Sie eine Erkrankung oder Beschwerde trotz aller naturheilkundlicher Maßnahmen nicht ausheilen können, dann denken Sie an Ihre Zähne. Oftmals stehen einer Heilung sogenannte Zahnstörfelder im Weg.
Als Zahnstörfelder können wir im…




