Wegovy ruiniert die Zähne? Neue Nebenwirkung „Ozempic-Zähne“ alarmiert Zahnärzte
Aus der Naturheilpraxis von René Gräber / Kategorie: Zahnprobleme / zuletzt aktualisiert: 09/01/2026
Ich berichtete bereits über Wegovy, den neuen „Superstar“ unter den Abnehmmitteln, das auch zur Behandlung von Typ-2-Diabetes eingesetzt wird. Ziemlich praktisch, so eine Doppel-Indikation: Vorsicht! Wegovy – Das künstliche Abnehm-Hormon
In diesem Beitrag berichtete ich ausführlich über die möglichen Nebenwirkungen und deren Häufigkeiten.
Jetzt taucht eine weitere Nebenwirkung auf, die in Drugs.com noch nicht verzeichnet worden war:
Die neuen „Ozempic-Zähne“ – Was steckt dahinter?
Aktuell häufen sich Berichte dazu, dass sich Abnehmspritzen negativ auf die Zahngesundheit auswirken können[1][2]. Ozempic (Semaglutid), Wegovy und Mounjaro (Tirzepatid) gehören zur Klasse der GLP-1-Medikamente (Glucagon-like Peptide-1), die primär zur Behandlung von Typ-2-Diabetes und zur Gewichtsabnahme eingesetzt werden.
Sie imitieren das natürliche Hormon GLP-1, das den reguliert und den Appetit reduziert. Per Injektion verabreicht, können sie auch zur Gewichtskontrolle bei Nichtdiabetikern eingesetzt werden.
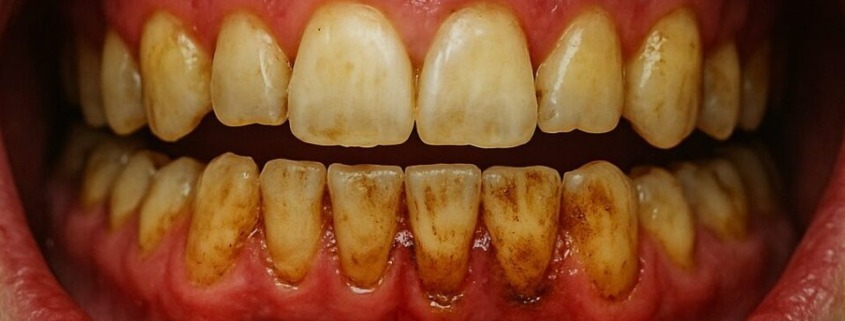
Zahnärzte berichten von Fällen mit verstärkter Karies, Zahnfleischentzündungen oder Zahnerosion sowie Mundtrockenheit, Zahnschmelzerosion, entzündetes Zahnfleisch und in schweren Fällen rissige oder lockere Zähne[2][5].
Warum entstehen Zahnprobleme unter GLP-1-Medikation?
„Ozempic-Zähne“ ist, ähnlich wie das „Ozempic-Gesicht“, ein im Internet geprägter Begriff zur Beschreibung einer Eigenschaft, die nach Ansicht einiger mit der Einnahme von Medikamenten zur Gewichtsabnahme und gegen Diabetes zusammenhängen könnte.
Noch fehlen klinische Daten, die eine direkte Verbindung zwischen Ozempic und Zahnschäden belegen. In den Fachinformationen von Ozempic sind Zahnbeschwerden bislang nicht aufgeführt[3]. Dennoch gibt es Fallberichte, wo der vermehrte Einsatz von Wegovy/Ozempic zu einer Zunahme von geführt hatte.
Übrigens: Wenn Sie solche Informationen interessieren, dann fordern Sie unbedingt meinen kostenlosen Praxis-Newsletter „Unabhängig. Natürlich. Klare Kante.“ dazu an:
Hauptursachen der Zahnschäden
Die Substanz selbst scheint nicht direkt für die Zahnprobleme verantwortlich zu sein. Vielmehr sind mehrere Faktoren verantwortlich:
- Mundtrockenheit (Xerostomie)
Weil sich nicht nur das Hunger-, sondern auch das Durstgefühl verringert, kommt es bei manchen Patientinnen und Patienten zu Mundtrockenheit[1]. Dadurch verringert sich die Speichelproduktion, ein wichtiger Schutzfaktor für den Zahnschmelz. Ohne Speichel können sich Säuren und Bakterien leichter im Mund ausbreiten[2]. - Erhöhte Magensäureproduktion
Unter der Medikation wird die Magensäureproduktion angetrieben, als Reaktion auf die Verlangsamung der Verdauung. Der damit verbundene saure Reflux, Sodbrennen bis hin zum Erbrechen lässt die Magensäure mit den Zähnen in Kontakt kommen. Die dabei freigesetzte Magensäure hat einen pH-Wert von etwa 1,5 – extrem sauer und äußerst schädlich für den Zahnschmelz[10]. - Verstärkte Plaquebildung
Ein trockener Mund führt auch zur verstärkten Bildung von Plaques, was ebenfalls zu Löchern in den Zähnen und empfindlichen Zähnen führt.
Berichte aus der Praxis
US-Zahnärzte und deutsche Zahnarztpraxen berichten vermehrt über Fälle mit auffälligen Zahnschäden bei ansonsten gesunden Personen, deren Gebiss zuvor stabil war und die plötzlich zur Kontrolle mit sichtbaren Schäden erscheinen[2][3][10].
Besonders drastisch sind Berichte über Frauen, denen nach der Nutzung von Mounjaro vor lauter Erbrechen einige Zähne ausgefallen sind[7][8]. Die Beschwerden treten oft schon nach wenigen Wochen der Anwendung auf, besonders betroffen sind langjährige Nutzer[2].
Schutzmaßnahmen für die Zahngesundheit
Um die Zähne zu schützen, sollten Sie folgende Maßnahmen beachten:
- Ausreichend trinken: Viel Wasser trinken kann helfen, die Speichelproduktion anzuregen[6]
- Zuckerfreien Kaugummi kauen: Regt die Speichelproduktion an
- Zahnarzt informieren: Früherkennung und Prävention sind entscheidend. Bei auftretenden Symptomen sollte das behandelnde medizinische Fachpersonal informiert werden[6]
- Intensivere Mundhygiene: Zahnseide, fluoridhaltige Zahnpasta und antibakterielle Mundspülung sind Pflicht. Zweimal täglich Zähneputzen und tägliches Zahnseideverwenden sind unerlässlich[2][6]
- Sodbrennen behandeln: Sprechen Sie bei Sodbrennen mit Ihrem Arzt über Behandlungsmöglichkeiten
Natürliche Alternativen bei Sodbrennen
Was man noch gegen Sodbrennen tun kann, auch um noch mehr Medikamente (gegen Sodbrennen) zu vermeiden, können Sie hier erfahren: [2] [3] [4]
- Sodbrennen – Symptome, Ursachen und Therapie
- Natriumhydrogencarbonat gegen Sodbrennen und Übersäuerung: Effektiv oder gefährlich?
- Hilfe und Hausmittel gegen Sodbrennen – Reflux und Magenbrennen
Übrigens: Wenn Sie solche Informationen interessieren, dann fordern Sie unbedingt meinen kostenlosen Praxis-Newsletter „Unabhängig. Natürlich. Klare Kante.“ dazu an:
Quellen:
[1] Vorsicht! Wegovy – Das künstliche Abnehm-Hormon (https://www.gesundheitlicheaufklaerung.de/wegovy-abnehmmittel/)
[2] Sodbrennen – Symptome, Ursachen und Therapie (https://www.yamedo.de/sodbrennen/)
[3] Natriumhydrogencarbonat gegen Sodbrennen und Übersäuerung: Effektiv oder gefährlich? (https://www.gesund-heilfasten.de/natriumhydrogencarbonat/)
[4] Hilfe und Hausmittel gegen Sodbrennen – Reflux und Magenbrennen (https://www.naturheilt.com/sodbrennen/)
Rene Gräber:
Ihre Hilfe für die Naturheilkunde und eine menschliche Medizin! Dieser Blog ist vollkommen unabhängig, überparteilich und kostenfrei (keine Paywall). Ich (René Gräber) investiere allerdings viel Zeit, Geld und Arbeit, um ihnen Beiträge jenseits des "Medizin-Mainstreams" anbieten zu können. Ich freue mich daher über jede Unterstützung! Helfen Sie bitte mit! Setzen Sie zum Beispiel einen Link zu diesem Beitrag oder unterstützen Sie diese Arbeit mit Geld. Für mehr Informationen klicken Sie bitte HIER.


Rene Gräber:




